隱適美隱形矯正
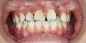
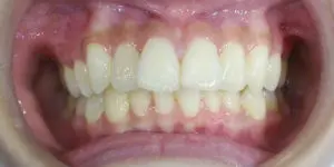
牙齒不整齊、暴牙,這些狀況,令你的笑容扣分了嗎?
隱適美隱形矯正,利用高分子材料製作出透明牙套,低調又美觀,讓你在難以被察覺的情況下進行牙齒矯正。
隱適美隱形矯正 VS 一般矯正
| 隱適美隱形矯正 | 一般鋼絲矯正 | |
|---|---|---|
| 外型美觀 | 隱形牙套美觀、輕薄、透明,別人不易發覺 | 矯正器與金屬線明顯,矯正器的厚度也使唇部外觀突出 |
| 清潔方便 | 可自由取下,按照一般潔牙方式以牙線、牙刷清潔 | 矯正器黏著在牙齒上,形成諸多死角、清潔不易,可能導致蛀牙狀況 |
| 脫戴便利 | 隱形牙套韌性極佳,患者可自由脫戴,且安全不怕刮破嘴 | 脫戴不便,且突發狀況較多,如:矯正器脫落、鋼絲突出…等,須立即回診調整,較為麻煩 |
| 回診次數較少 | 精準規劃、掌握矯正療程,可一次提供多副牙套配戴,減少回診次數 | 至少1-2個月必須回診一次,由醫師調整鋼絲,確保矯正進度 |
| 提升舒適度 | 牙齒受力溫和、均勻,不易感到不適 | 可能感覺牙齒酸軟、不適 |
| 縝密的牙齒矯正計畫 | 透過隱適美原廠iTero大數據計算,規劃出最合適的牙齒移動方法,同時模擬矯正成果 | 憑醫師經驗、技術排列牙齒,無法預見矯正成果 |
桃園隱形矯正推薦-藝品牙醫診所,引進iTero口掃機,不必忍受印模不適感,並與美國隱適美原廠同步連線,可省下2週時間、不必苦等久候,讓患者在精準、舒適又有效率的隱形矯正治療下,恢復牙齒整齊。
什麼是iTero?
iTero是口內掃描器(又稱口掃機),由於是由隱適美美國原廠所推出,因此和隱適美隱形矯正系統整合程度相當高,可取代印模,幫助醫師快速建立患者口內3D模型,進行矯正模擬。
iTero有什麼優點?
- 模擬成果:患者初診諮詢時,即可模擬矯正情況,並將牙齒移動過程製成動畫,讓患者預見矯正後的狀況。
- 縮短療程:iTero可與 隱適美美國原廠同步連線,省去印模的不適與空運時間,可省下至少二個禮拜,讓矯正治療提早開跑!
- 舒適快速:透過光學原理,精準快速地建立口腔3D模型,不必忍受印模的不適。
- 評估成效:矯正患者在回診時,可透過iTero掃描牙齒現況,評估牙齒移動的進度與方式,是否符合預期。
隱適美隱形矯正專家-
譚世康醫師
主攻前牙排齊
- 中國醫藥大學齒顎矯正專科醫師
- 中國醫藥大學矯正科指導醫師
- 隱適美白金菁英級認證醫師
- Dalian醫科大學齒顎矯正臨床碩士
- 日本東京醫科大學LH矯正系統專科醫師
- 中華民國臨床植牙醫學會專科醫師
- 美國哈佛大學人工植牙專科研究
- 美國Loma Linda大學植牙證書
- 美國牙醫國家考試(A.D.A.)認證醫師
隱適美隱形矯正的iTero雖具備強大模擬功能,但實際的治療計畫如何妥善安排,如何讓患者在矯正過程中舒適,得到完美的咬合,仍須仰賴矯正專科醫師的專業分析。
隱適美隱形矯正專家-譚世康醫師,具備齒顎矯正專科醫師資格,並取得齒顎矯正臨床碩士、美國牙醫國考認證,以多年的矯正經驗,為您規劃妥善的隱適美隱形矯正療程。
桃園隱適美-藝品牙醫
隱形矯正分享
桃園隱適美-藝品牙醫
解答妳的隱適美疑惑
隱適美費用主要是依照患者牙況的複雜程度而定。簡單的齒列調整與複雜的暴牙、開咬所需要的矯正計畫大不相同。其他像是看不見的隱形花費,例如醫師的專業技術,診所提供的專業科學儀器,都是隱適美矯正不可或缺的因素。
- 資料收集
隱適美過程中,為建立精確的數據庫,醫師會為患者進行一系列的資料收集,例如X光片、口內照片、患者口腔電腦斷層分析與數位化3D模型建立。 - 療程費用
專業的隱適美醫師會計畫出專屬於患者整體的療程規劃,不同醫師的技術經驗與判斷都不同,除了整體療程規劃因診所可能有差異以外;也會反映在療程費用上。 - 器材費用
器材費用指的是製造隱適美牙套的價格,透過美國原廠專利製造的牙套才能幫助患者有效率的達成目標,隱適美牙套大約會花費30天左右製作。
中年牙齒矯正雖然是可行的,但為了讓牙齒矯正如期望也有幾項需要注意的事情,其實人來到了中年口腔可能會有蛀牙也可能染上牙周病,就有可能需要先進行治療再進行中年牙齒矯正,甚至患者本身有吸菸或是曾經進行過植牙,矯正時就會因情形而不同,如果有抽菸習慣的患者,為了降低菸品中的尼古丁等有害物質對於口腔的影響,就有可能需要暫時先戒菸,避免因為抽菸而影響到矯正效果。
由於面臨到中年牙齒矯正的時候,口腔可能會面臨到的經常不是只有需要進行牙齒矯正,通常矯正前有很大的可能會需要伴隨另外的口腔治療,關於中年牙齒矯正需要注意的詳細事項需要透過醫師評估,依照醫師所提供的方式進行牙齒治療、中年牙齒矯正就容易達到您所希望的矯正需求。
牙齒矯正年齡越早越好,但是幾歲矯正牙齒比較好?年紀越小顎骨的治療會相較於較顯著,最好的時機就是為兒童換牙期間的「矯正黃金時期」,第一階段是為1~6歲兒童乳牙齒列期;第二階段是6~12歲混合齒列,齒列中有乳牙及恆牙並存;第三階段是12歲以後乳牙全換成恆牙時期。
說了這麼多隱適美隱形矯正的優點,隱適美牙套確實還是有其瑕不掩瑜的三大隱適美缺點。
- 隱適美缺點ptt鄉民解惑1:配戴初期講話不便
- 隱適美缺點ptt鄉民解惑2:需要自律每日配戴20小時
- 隱適美缺點ptt鄉民解惑3:矯正時間長
隱適美橡皮筋作用就是用來加速牙齒移動,或是使牙齒朝向指定的方向移動,隱適美橡皮筋是牙齒矯正過程中的重要幫手,隱適美牙套上會特意留下一個隱形凹槽,讓隱適美橡皮筋可以裝上,或醫師在牙齒表面黏上小豆豆勾隱適美橡皮筋做使用,針對較困難的牙齒移動,隱適美橡皮筋需倚靠骨釘發揮更強的移動牙齒力道。
- 隱適美橡皮筋作用一:調整上下顎咬合
- 隱適美橡皮筋作用二:調整門牙中線
- 隱適美橡皮筋作用三:關閉牙齒縫隙
- 隱適美橡皮筋作用四:加快矯正速度
骨釘對於移動牙齒扮演相當重要角色,然而許多ptt網友最關心的是,打隱適美骨釘到底痛不痛?桃園隱適美專家-譚世康醫師指出,隱適美骨釘其實是比拔牙還要小的手術,打了麻藥後並不會有任何痛覺,打隱適美骨釘相當快速,通常10分鐘內即可完成,打骨釘隱適美痛感比拔牙小。
不過當隱適美骨釘麻藥退了以後,傷口附近會有發紅腫脹狀態,都屬於正常現象,每個人依體質不同會出現不同程度的疼痛感,有的人不會有痛感,有些人卻出現頭痛欲裂的狀況,回家後記得要按照醫囑吃止痛藥、抹上蠟條避免骨釘磨破口腔,通常三天至一周腫脹就會消退。
特別要注意的是,如果骨釘周圍牙齦發紅腫脹、隱適美痛感超過一個星期,或是骨釘有鬆動現象,可能是牙齦遭感染,要趕緊回診請醫師檢查並做相關處置。
隱適美常見問題-兒童篇
在台灣對於牙齒矯正,不少家長普遍的觀念是:若是在兒童階段進行,由於兒童牙齒與骨頭還在生長,兒童牙齒矯正後也有高機率回復原狀,因此應該在成年後、待牙齒與骨頭定型後,再進行隱適美矯正才會比較好。然而,譚世康醫師表示,這是非常錯誤的觀念。
那麼事實是甚麼?與傳統觀念相反,兒童階段進行隱適美矯正,是最佳的時機點。當患者在成長階段就施作隱適美矯正,可以達到較大程度的改變;且不僅是牙齒,在兒童成長階段進行矯正,還有很大機會可以改變臉型。而成年之後,因為骨骼已經定型,隱適美矯正效果是遠不如兒童階段的,臉型更已經來不及改變。
那麼為何我們該選擇兒童隱適美呢?首先是隱適美的美觀性。隱適美外觀透明輕巧,難以察覺,對於兒童來說,不僅會更有意願配戴,也不用害怕傳統金屬矯正器可能造成同儕間的異樣眼光。
第二點則是隱適美的舒適感。隱適美由名為SmartTrack® 的專利熱塑性材料製成的,兒童口腔細皮嫩肉,以往兒童若配戴傳統金屬矯正器,需要一段較長的適應期外;口腔內也容易因此而受傷。使用隱適美則可以很好的避免以上狀況。
隱適美不同於傳統金屬矯正器的另外一點,就是可以隨時自由穿戴。雖然方便且舒適,但有些兒童會發生忘記配戴、甚至弄丟的狀況;該如何處理?譚世康醫師指出,隱適美是連貫性療程,當發生上述情形,可以嘗試配戴回上一副牙套,讓牙齒不至於移位,此外也可以嘗試配戴下一副牙套。然而,若是嘗試後、發現有隱適美不密合狀況,建議還是應該盡快攜帶牙套回診,讓醫師檢查是否有牙齒實際位移的狀況。
兒童牙齒矯正費用與成人矯正費用計算原理相同,必須依選擇的矯正器種類、孩子牙齒擁擠、上下顎骨異常發育的嚴重程度,加上醫師的技術經驗等三方面綜合計算,才能提供報價,建議您可帶孩子來診所進行評估,由醫師提供您較精確的兒童牙齒矯正費用。
說了這麼多隱適美隱形矯正的優點,隱適美牙套確實還是有其瑕不掩瑜的三大隱適美缺點。
- 隱適美缺點ptt鄉民解惑1:配戴初期講話不便
- 隱適美缺點ptt鄉民解惑2:需要自律每日配戴20小時
- 隱適美缺點ptt鄉民解惑3:矯正時間長
隱適美橡皮筋作用就是用來加速牙齒移動,或是使牙齒朝向指定的方向移動,隱適美橡皮筋是牙齒矯正過程中的重要幫手,隱適美牙套上會特意留下一個隱形凹槽,讓隱適美橡皮筋可以裝上,或醫師在牙齒表面黏上小豆豆勾隱適美橡皮筋做使用,針對較困難的牙齒移動,隱適美橡皮筋需倚靠骨釘發揮更強的移動牙齒力道。
- 隱適美橡皮筋作用一:調整上下顎咬合
- 隱適美橡皮筋作用二:調整門牙中線
- 隱適美橡皮筋作用三:關閉牙齒縫隙
- 隱適美橡皮筋作用四:加快矯正速度
桃園隱適美-藝品牙醫最新隱適美文章

隱適美小豆豆一定要貼嗎?關於吃東西、疼痛與清潔重點
許多朋友在諮詢隱適美時,常會好奇牙齒上為什麼要貼一些小小的、像米粒般的突起物,甚至擔心這些「隱適美小豆豆」會不會影響美觀或造成不便。
其實,這些名為「附件(Attachments)」的裝置,是隱形矯正能否精準移動牙齒的關鍵。
本文將由藝品牙醫團隊中的譚世康醫師,為你深入解析這些小豆豆的作用、日常護理以及如何避免隱適美豆豆染色,讓你的矯正之路更加順遂安心。

隱適美咬合過深全解析:醫師帶你了解深咬危害、矯正原理與治療步驟
在眾多矯正案例中,「咬合過深」(深咬)是一個相當常見,且不可忽視的問題。
當我們談論隱適美咬合過深的矯正時,這不單純是將牙齒排整齊,更是要重新建立一個健康的垂直咬合關係。
藝品牙醫將由專業醫師的角度,為你深入解析咬合過深的定義與潛在危害、隱適美咬合改善深咬的核心原理,以及完整的治療步驟與注意事項。

【隱適美評估】從智齒到暴牙!醫師教你找到最合適的矯正計畫
當你考慮矯正牙齒,追求更健康自信的笑容時,透明、舒適的隱適美(Invisalign)往往是許多人的首選。
然而,從複雜的智齒位置到明顯的暴牙或虎牙問題,隱適美真的能處理嗎?
「隱適美評估」正是決定你矯正計畫成功的關鍵第一步。
桃園藝品牙醫將由專業醫師的角度,帶你深入了解隱適美評估會看哪些重點,如何處理智齒的疑慮,以及隱適美在矯正隱適美虎牙、暴牙等複雜問題上的適用性,協助你找到最合適的矯正方案。

想矯正牙齒?隱適美傳統比較後該怎麼選
當你決定展開牙齒矯正之旅時,「要選隱適美傳統哪個好?」絕對是你首先會面臨的抉擇。
在藝品牙醫,我們深知這個選擇的重要性,它不僅影響你的治療費用和時間,更關乎你在矯正期間的生活品質與社交自信。
作為你的矯正醫師,藝品牙醫將為你清晰呈現隱適美傳統比較的差異,並引導你根據個人需求、生活習慣與牙齒狀況,找到最適合你的矯正方案。

隱適美牙齒矯正一次看懂:從評估到微笑曲線的全流程
當你看著鏡子裡的笑容,是否也曾希望自己的牙齒能更整齊、線條更完美?
傳統牙套的金屬外觀,總讓許多人對矯正卻步。
然而,隨著牙科技術的進步,隱適美牙齒矯正提供了截然不同的選擇。
它以幾乎看不見的透明牙套,悄然引導你的牙齒走向理想位置。
藝品牙醫將以專業醫師的角度,帶你完整了解隱適美的原理、適合對象、以及如何透過這項技術,打造屬於你的完美隱適美微笑曲線。

兒童隱適美費用高嗎?這樣比較就知道值不值得
各位爸媽你好!當你發現孩子的牙齒排列不整,開始考慮矯正時,可能已經聽過「兒童隱適美」這個選擇。
這種透明、舒適的矯正方式,讓許多家長都非常心動。
但隨之而來的,就是對兒童隱適美費用的疑問:「這樣透明的牙套,兒童隱適美價格會不會很貴?到底值不值得花這筆錢?」這些都是很正常的考量。
今天,桃園藝品牙醫將以專業醫師的角度,為你詳細解析兒童隱適美的價格結構與背後的價值,幫助你做出最安心的決定。
預約表單
營業時間(週一至週六)
上午9:30-12:00 下午14:30-17:30 晚上18:30-21:00 週日全天休診
